Leukopoiesis

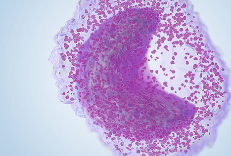
Leukopoiesis - Immature Granulocyte (IG)

Immature Granulocyte enumeration may aid in the identification of left shift and may enhance lab workflow.

Doctor and Patient
  • Read: CAP Q&A column on use of IG in infection management

    With many laboratories discontinuing manual band counts because of imprecision, Sysmex's Immature Granulocyte count standardizes and automates identification of immature neutrophils.
    Read more
  • Comparing automated vs manual leukocyte differential counts for quantifying the 'left shift' in the blood of neonates

    The presence of a left shift in neonates can be measured via the I/T ratio, which requires a manual count. These investigators found that the automated Immature Granulocyte (IG) count can provide critical information about left shift.
    Read Abstract

Watch: A neonatologist's perspective

Dr. Brianna MacQueen, neonatologist at the University of Utah, explains how her team uses using IG, RET-He and IPF in practice